【目次】

第一印象は笑顔で決まる、とも言われています。歯並びが良くなることで、見た目もさらに良くなります。笑顔が素敵になることで第一印象もアップします。
ただ、矯正治療となると、装置が目立つ、、、費用が高い、、、という理由で諦めてしまっている方も多くみえます。
インビザラインGO(iGO)であれば、目立たない矯正で、費用も安く矯正治療がスタートできます。
実際に、1年間の矯正治療で歯並びが良くなり、さらに、お顔の印象がより素敵になった20代の女性を紹介します。

「前歯が出っ歯で、すきっ歯なのですが、治りますか?」
ご相談を頂いたのは、20歳の女性です。
せっかくの良い笑顔なのですが、前歯に悩みをお持ちで、無意識に口元を隠してしまっていたそうです。
結論からお伝えすると、インビザラインで前歯の「出っ歯」も「すきっ歯」も、きれいに治りますので安心して下さい。
Tさんは、お仕事の都合上、前歯に銀のワイヤーをつけることを避けたいとお考えでした。通常の矯正治療では、針金をつけて矯正することが一般的でした。
しかし、口元にワイヤーがつくことで、どうしてもギラギラと目立ってしまいます。

1. 針金がギラギラと目立ち、矯正していることが周りに分かりやすい
2. 歯の移動に伴う、痛みが生じる場合がある
3. 清掃が複雑で、歯磨きが困難になる
そんな問題を解決したのがマウスピース矯正の「インビザライン」です。

1. 透明なマウスピースで目立たない
2. マウスピースの中で歯が移動する為、痛みが出にくい
3. 取り外し可能で、歯磨きがしやすい
ただし、どちらの治療法にも利点、欠点があります。
出っ歯やすきっ歯の、原因と状態により適用が異なります。まずは歯科医師に相談することが大事です。山内歯科多治見おとなこども矯正では無料カウンセリングも実施しております。担当医にじっくり相談することができますので、お気軽にご利用下さい。

矯正治療を検討される方が気になるのが「治療期間」です。
今回のTさんは、治療期間1年間で治りました。
実際は、歯並びや噛み合わせにより診断します。治療の多くは、半年〜1年間で治療終了する患者さんが多いです。
インビザラインの場合は、リファインメントを必要とする場合が多いです。リファイメントとは、アライナー(マウスピース)を追加する治療です。
これは治療が進む中で、当初の計画と「歯の動き」が異なる場合や、「歯並び」の修正が必要となることがあるからです。当初の計画より延長する場合があることは、覚えておいた方がよろしいです。
iGOは2年間の治療期間の中で、マウスピースを新しく製作することができます。山内歯科多治見おとなこども矯正では、新しいマウスピースの製作費用は無料の総額の治療費です。

矯正診断用のレントゲンを撮影し、歯並びと骨格の分析を行います。
矯正治療には、正しい分析診断が重要です。
光学印象で歯並びを撮影します。粘土を使い、型取りをする必要がありません。
時間の短縮と、より精密な型が取れる様になりました。

コンピューターで治療終了時の歯並びを、CGで確認することができるのも大きな特徴です。
従来の矯正治療では、治療終了時のイメージが分かりにくい、という問題点がありました。インビザラインではこの問題を、CGで確認することができる様になりました。

まずは、歯のクリーニングをします。
「アタッチメント」と呼ばれる、プラスチックの樹脂を歯面にくっつける為、歯をきれいな状態にします。

アタッチメントを光で固めていきます。

アタッチメントを装着しました。「マウスピースの維持」と「歯に加わる力をコントロール」するのに役立ちます。

実際のインビザライン装着時の、口の中の写真です。
透明なマウスピースでできている為、ほとんど目立ちません。今回は、上の歯だけ矯正を予定しました。
毎日真面目に、22時間以上装着して頂いたおかげで、順調に治療は終了しました。

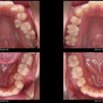
正面から見て、隙間が空いていた前歯がピタッと並びました。

横から見て、やや前に出ていた前歯もバランス良く整いました。

歯並びが変わったことで、口元の印象が変わりました。
印象的でしたのは、「歯を隠さなくなりました」と治療終了時におっしゃっていた事です。私も矯正治療に満足して頂き、嬉しく思いました。
岐阜県多治見市や土岐市、瑞浪市、恵那市、可児市、中津川市で、「前歯の歯並び気になるな~」 「私って部分矯正できるのかしら?」とお困りの方は、お気軽に診察にお越し下さい。
山内歯科多治見おとなこども矯正
歯科医師 山内敬士
執筆・監修者
院長:代表歯科医師:山内 敬士
歯並び矯正と精密治療、予防歯科にこだわった歯科医院
徹底した精密診断で歯並びや咬み合わせの根本原因を見極め、将来を見据えた小児矯正・成人矯正をご提供します。長期的な健康を重視し、患者さま一人ひとりに最適な治療計画と予防方法をご提案いたします。
セミナー講師レベルのドクターが対応
セミナー講師として全国の歯科医師へ指導も行うドクターが、山内歯科多治見おとなこども矯正ではすべての患者さまを直接担当します。最新の矯正理論に基づく正確な診断と、高度な技術による安全で効果的な治療計画が強みです。難症例にも対応でき、おとなもこどもも一人ひとりに最適な矯正治療を提供します。
