コラム/症例記事一覧
「マウスピース矯正」で子供の低位舌を治療 最近テレビ番組でも、「低位舌」の特集が組まれ、目にすることが多くなります。 低...
続きを読む >>
こんにちは、山内歯科多治見おとなこども矯正の歯科医師の山内敬士です。 子供の歯並びは自然に治るの? お子さんの歯並びで、...
続きを読む >>
前歯のすきっ歯を小児矯正 お子さんの前歯の隙間「すきっ歯」が気になっている方。いつかは矯正してあげたいけど、矯正費用が心...
続きを読む >>
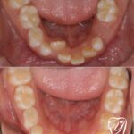
針金なしで歯並びを治しました! 「子供の歯並びが”ガタガタ”で心配です。これって遺伝ですか?」 実は、お子さんの歯並びが...
続きを読む >>
