2023年10月のコラム/症例記事一覧
精密型取り セラミックの歯を製作する為に、ていねいに型を取ります。 歯ぐきの腫れがないと、とてもきれいな型が取れます。 ...
続きを読む >>
歯と歯の間の治療はどうしているのか? 歯の間にできてしまった虫歯を、歯科医師はどうやって治療しているか気になりませんか?...
続きを読む >>
虫歯治療で自分の歯を守る為に 虫歯治療で、健康な自分の歯を削る量は最小限にしなければいけません。 通常の高速ドリルで虫歯...
続きを読む >>
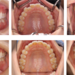
インビザライン矯正12ヶ月Before→After 年齢・性別 20歳 女性 治療費 670,000円 治療期間 12ヶ...
続きを読む >>
インビザライン半年でどこまで矯正できる? マウスピース矯正ってどれくらいの期間かかるのだろう?どの位キレイに治るのかな!...
続きを読む >>
