カテゴリ:成人矯正治療例紹介
マウスピース矯正は、気軽にはじめれます。 第一印象は笑顔で決まる、とも言われています。歯並びが良くなることで、見た目もさらに良くなります。笑顔が素敵になることで第一印象もアップします。 ただ、矯正治療となると、装置が目[…]
続きを読むカテゴリー【成人矯正】の記事一覧
カテゴリ:成人矯正治療例紹介
マウスピース矯正は、気軽にはじめれます。 第一印象は笑顔で決まる、とも言われています。歯並びが良くなることで、見た目もさらに良くなります。笑顔が素敵になることで第一印象もアップします。 ただ、矯正治療となると、装置が目[…]
続きを読む
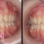
カテゴリ:成人矯正治療例紹介
前歯だけの部分矯正はできる? 人の顔を特に印象付けるのは「前歯」ではないでしょうか。前歯の歯並びで笑顔の雰囲気はガラっと良くなります。 前歯の部分矯正の特徴や、費用と期間はどの位かかるのか?どんな場合が部[…]
続きを読む